Convênios Atendidos

 

Para exames realizados pelo convênio, é necessário apresentar receituário do dentista carimbado, assinado e com data de emissão dentro dos últimos 30 dias.

 

                                                                       

Exames Oferecidos

 

A ScanLine Radiologia Odontológica oferece uma ampla gama de exames por imagem, realizados com tecnologia avançada e alto padrão de qualidade, garantindo precisão diagnóstica e segurança para profissionais e pacientes.

 

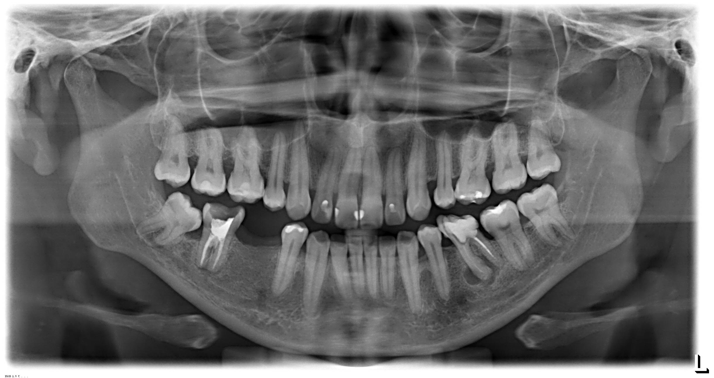
  • Radiografia Panorâmica
    Avaliação ampla das estruturas dentárias, ósseas e articulares.

  • Documentação Ortodôntica
    Conjunto completo de exames e registros para diagnóstico, planejamento e acompanhamento ortodôntico.

  • Tomografia Computadorizada de Feixe Cônico (3D)
    Imagens tridimensionais de alta precisão para análises detalhadas e planejamento clínico avançado.

  • Radiografias Periapicais e Interproximais
    Avaliação detalhada de dentes, raízes e estruturas de suporte.

  •     
  • Escaneamento Intraoral (iTero)
    Captura digital precisa da arcada dentária, proporcionando conforto ao paciente e maior agilidade no planejamento dos tratamentos

  •       

 

Tecnologia, Precisão e Cuidado Humano

 

 

A ScanLine Radiologia Odontológica é um centro de diagnóstico por imagem dedicado a apoiar profissionais da saúde com exames precisos, tecnologia avançada e resultados confiáveis. Atuamos com compromisso, ética e excelência, oferecendo suporte fundamental para diagnósticos seguros e planejamentos clínicos eficazes.

Investimos continuamente em inovação, equipamentos modernos e capacitação da nossa equipe, garantindo alto padrão de qualidade em cada exame realizado. Nosso atendimento é pautado pela humanização, respeito e cuidado com cada paciente, incluindo ambientes pensados para proporcionar conforto e tranquilidade, como o nosso Espaço Kids, desenvolvido especialmente para o acolhimento infantil.

Acreditamos que a qualidade do diagnóstico começa no atendimento. Por isso, trabalhamos diariamente para construir relações de confiança com dentistas, parceiros e pacientes, promovendo saúde, bem-estar e segurança em cada etapa do processo.

 

 

CONTATO

Envie sua mensagem. Teremos prazer em lhe responder.

(11) 4324-2100

(11) 94726-1410

Rodolfo Marco Fujimoto Trentin

Tijuco Preto n°: 1650 São Paulo / SP

Você receberá um email com as informações de login e senha.